Zygomatic implants are a dependable option for patients with severe upper jaw bone loss, making it possible to get fixed teeth in just one week.

Zygomatic implants molar positioning technique by Dr Petrungaro

Severe upper jaw bone loss is one of the main reasons many patients are told that they are “not suitable” for fixed dental implants. In such cases, conventional implants in the posterior part of the jawbone often do not get enough bone support because the upper jaw is already highly resorbed, and the maxillary sinus further limits available bone. Sinus lifts are not a good option as they are not predictable and graft placement might fail many times, and also it takes many surgical procedures and months to years of waiting before you get the teeth, and even after such attempts, they fail miserably as the grafted bone is not dense enough.

But that does not mean the patient has no fixed solution.

In advanced implant rehabilitation, zygomatic implants can provide fixed teeth even in cases of severe maxillary atrophy. By taking anchorage from the zygomatic bone rather than depending only on the remaining upper jawbone, it becomes possible to rehabilitate patients who otherwise may have been advised removable dentures or extensive grafting procedures. Again, removable dentures are not preferred by modern-day patients as they are literally uncomfortable.

This case is one such example; this case was rejected elsewhere for implants, and he came to us for a fixed solution. We gave him one in just a week, with the help of zygomatic implants

Get in Touch With Us Today!

The Challenge: A Highly Resorbed Upper Jaw

The patient presented with a severely resorbed upper jaw and failing dentition. The posterior maxilla showed very limited residual bone measuring just 2mm, and mind you, the minimum implant size is 10 mm long, making conventional implant placement in the back region highly unfavourable. In such cases, the major difficulty is not simply replacing teeth, but creating a stable foundation strong enough to support a fixed prosthesis immediately and predictably.

On radiographic evaluation, the upper jaw showed advanced bone loss with very poor support in the posterior segments. It also showed us that the sinus is highly pneumatized, that is, the sinus expanded much at the cost of the jawbone, and even the anterior jawbone is not in a position to accommodate 4 implants. This is exactly the kind of situation where zygomatic implants become a valuable treatment option.

Fig 1.

Full arch implant molar positioning X-ray

In Fig 1, you can see all three X-rays together: the Pre Op, the Mid Op, and the Post Op.

You can observe in the mid op that bone is very Less in the front region of the upper jaw, and zero bone in the back region of the upper jaw.

Why Zygomatic Implants Were Chosen

Instead of relying on the deficient posterior maxillary bone, zygomatic implants were used to obtain anchorage from the zygomatic bone. This allows rehabilitation of the upper jaw without depending on large sinus grafts or prolonged staged grafting procedures and multiple painful and costly surgeries, which often take months to heal.

In this case, the treatment plan was designed to achieve:

    • stable anchorage in a severely resorbed jawbone by anchoring the implant into the most stable zygomatic bone.

    • wide implant spread for better biomechanics, this is called anteroposterior spread, simply put, AP spread.

    • immediate support for a fixed full-arch prosthesis, here, in this case, we gave a screw-retained hybrid denture.

    • Reduced the cantilever by positioning the zygomatic implants as distally as possible

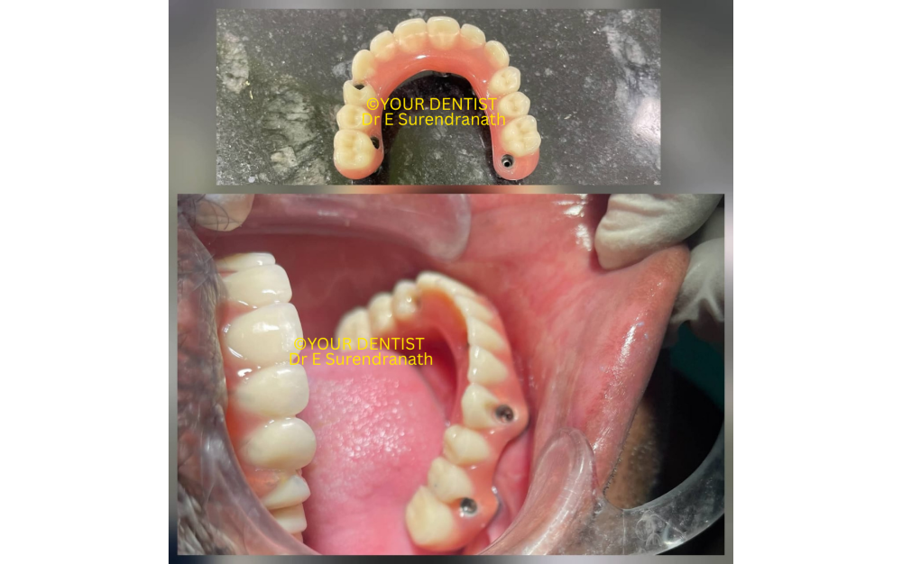
One of the important features of this case was the posterior positioning of the zygomatic implants in the molar region, following the distal or molar positioning philosophy often associated with Dr Petrungaro. This kind of posterior implant emergence can significantly improve antero-posterior spread and reduce the need for long distal cantilevers in the prosthesis. Here, in this case, you can see it for yourself that we completely avoided the cantilever effect by placing the zygomatic implants at the molar region, as seen in fig 2.

Fig 2

Immediate loading full arch dental implant prosthesis

The Surgical Approach

After careful planning, the upper arch was rehabilitated using bilateral zygomatic implants along with anterior conventional implants in the residual maxillary bone. The zygomatic implants were placed to engage the zygomatic bone and provide strong remote anchorage, while the anterior implants helped create a well-distributed full-arch support system.

The radiographs and 3D views show the zygomatic implants extending into the zygomatic buttress region bilaterally, with the prosthetic platform emerging in a highly favorable distal position. This is an important biomechanical advantage because it helps us support a fixed full-arch prosthesis more efficiently. This can be clearly seen in the CBCT images that are in Fig 4.

Fig 4

Full arch dental implant prosthesis intraoral view

Our resident maxillofacial surgeon, Dr. E. Surendranath, is well-versed in zygomatic implants, and all the concepts of immediate loading and remote anchorage can give you the best option any given day and in any given situation.

At the same time, the lower arch was also rehabilitated with multiple implants to complete the overall full-mouth reconstruction.

Schedule Your Consultation

Immediate Loading and Prosthetic Rehabilitation

One of the biggest advantages in such well-executed cases is that the patient does not have to remain without teeth for months.

Because adequate primary stability was achieved, the implants were immediately brought into function with a fixed final restoration. The intraoral images clearly show the transition from implant abutments to the fixed prosthetic phase. Within a short span, the patient moved from severe dental compromise to a functional fixed-teeth situation. The intraoral images also show you that we have used multi-unit abutments for each and every case, and also these multi-unit abutments will make the prosthesis sit in a favorable position, unlike the normal abutments, which can’t be tamed into position easily, and also you are forced to give a cement-retained teeth set, but multi-unit abutments give you an option for screw-retained teeth sets.

The smile photographs demonstrate the clinical change very well. Before treatment, the patient had a compromised dental appearance and poor support. After treatment, the patient regained fixed teeth, smile support, and a far more confident smile as seen in fig 3.

Fig 3

Immediate loading full arch dental implant prosthesis

Why a Screw-Retained Acrylic Hybrid Prosthesis Is Better in Immediate Loading Cases

In immediate loading cases, the choice of prosthesis is just as important as the implant placement itself. A screw-retained acrylic hybrid prosthesis is often a very practical and biologically favorable option during the immediate phase, especially in advanced full-arch cases involving zygomatic implants.

One of the main reasons is weight. In a freshly placed implant case, particularly in the upper jaw with zygomatic support, it is wise to keep the prosthesis relatively light during the initial healing and osseointegration period. Acrylic hybrids are lighter than zirconia or other heavier definitive materials, which helps reduce unnecessary functional load on the implants during the early phase.

Another major advantage is shock absorption. Acrylic teeth and acrylic base tend to absorb and distribute functional forces in a slightly more forgiving way compared to very rigid materials. In immediate loading situations, this can be beneficial because the prosthesis is being delivered when the implants are stable enough for loading, but still biologically in the healing phase.

Screw retention also offers an important clinical advantage. The prosthesis can be retrieved easily whenever needed for hygiene maintenance, soft tissue evaluation, occlusal adjustment, or prosthetic modification. In full-arch immediate loading cases, retrievability is extremely valuable because minor adjustments are often necessary as the tissues heal and the patient adapts to the new bite and function.

Acrylic hybrid prostheses also allow easier modification and repair. If there is a need to refine occlusion, change contours, adjust flange design, improve lip support, or replace a tooth segment, these corrections are much simpler and more economical in acrylic than in a rigid final zirconia restoration. This makes acrylic a safer and more forgiving material during the transitional healing phase.

From a biomechanical point of view, a screw-retained acrylic hybrid prosthesis acts as an efficient immediate provisional or early fixed restoration because it splints the implants together while keeping the restorative design practical, repairable, and relatively lightweight. In complex cases with severe maxillary atrophy, zygomatic implants, and immediate function, these advantages become even more relevant.

That is why, in many immediate loading full-arch cases, a screw-retained acrylic hybrid denture is often the preferred restorative option during the initial phase before considering a more definitive long-term prosthesis.

Fig 5

Full arch dental implant prosthesis intraoral view

Why This Case Is Important

This case highlights an important message for patients with severe upper jaw bone loss:

Even when the upper jaw is highly resorbed, fixed teeth may still be possible.

Many patients assume that a lack of bone automatically means they have no option other than removable dentures. That is not always true. In carefully selected cases, advanced implant techniques such as zygomatic implants can avoid more extensive grafting procedures and provide a graftless fixed solution.

In fact, we at your dentist are happy to share that we are now the highest volume center in Vijayawada and also Andhra Pradesh, to perform advanced implant procedures like PATZI protocols, All-on-6 with zygomatic implants,All on 6 with pterygoids,All on 4 with zygomatic implants, All on x with zygomas and pterygoids, BASAL implant rehabiliataion for svere bone loss,PSI implant rehabilitation for resection cases.

Contact Us for More Details

This case is especially valuable for the patients whose goals are:

    • getting fixed teeth even if the jawbone is resorbed.

    • strong anchorage in the bones adjacent to the jawbone, such as the pterygoid bone or the zygomatic bone, etc., can be done here at our center with ease, as we have done thousands of cases like these.

    • immediate function and immediate results, which last longer than anyone could ever imagine.

    • fixed teeth instead of a removable denture.

    • acrylic hybrid instead of a heavier and less forgiving zirconium teeth set.

    • zirconium I-Bar, if the patient prefers it.

    • Better posterior support with minimal cantilever is an important factor for long-term success in implants.

Clinical Outcome

The post-operative radiographs demonstrate stable implant placement in both arches, including bilateral zygomatic anchorage in the maxilla and a full-arch framework-supported prosthetic plan. The prosthetic images also show a clean and functional fixed restoration with screw-access openings positioned for full-arch loading.

From a clinical and patient point of view, the outcome was significant:

    • The severely resorbed upper jaw was successfully rehabilitated.

    • Fixed teeth were delivered within a short treatment window.

    • smile, function, and confidence were restored.

    • The patient avoided a removable upper denture despite advanced bone loss.

Fig 6

Dental implant clinical outcome smile before and after

Final Thoughts

Severe upper jawbone loss does not always rule out fixed dental implant treatment. With the right diagnosis, planning, and surgical execution, zygomatic implants can offer a dependable solution for patients who have been told that conventional implants are not possible.

This case is a good example of how remote anchorage, proper implant distribution, and immediate loading can help rehabilitate even a highly resorbed maxilla with fixed teeth in just one week.

At YOUR DENTIST Advanced Dental & Maxillo-Facial Centre, Vijayawada, such advanced implant solutions are planned with a strong focus on biomechanics, function, and long-term prosthetic support, especially in difficult jawbone conditions where conventional approaches may not be enough.